가락삼성치과
Home
인사말
진료과목
치료사례
의료진
Blog
오시는길
Case details
Home
Case details
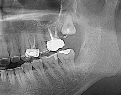
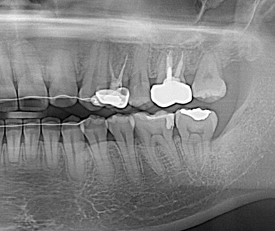
사랑니의 쓸모를 찾아서~
카테고리
: 치아교정
참고링크
:
사랑니의 쓸모를 찾아서~ 바로가기
사랑니 교정
사랑니를 교정치료를 통해 어금니로 사용하는 케이스