구역질이 심해요
구역질이 심해서 작년에 치료를 받다가 그만두고 치아가 아파서 내원했다는 30대 남자 환자
네.. 보통 입천장이나 혀쪽이 자극되면 구역질을 하는 환자들도 많아서 그럴수 있어요.. 웃으면서 오늘은 검진만 할꺼니 무서워하지마시고 아~해보세요..
아직 미러는 입안으로 넣지도 못했는데 벌써 우웩~ 잠깐 당황했으나 아닌척 심호흡을 하고 다시 아~해보실까요 하는데 역시다.
이런.. 입안을 보지도 못했다ㅠㅠ
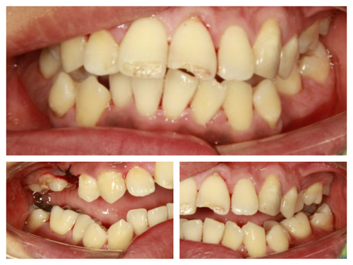
그럼 스켈링하신지 오래 되셨고 이~하셔서 보니 앞니에도 치석이 많으니 오늘은 스켈링과 검진을 목표로 합시다.
약이 들어가자 깊은 잠에 빠지신다.


역시 스켈링도 못 받으셨던것 같다.. 약이 들어가고 주무시기 시작해서야 겨우 구강 상태를 살필 수 있었다..
발치가 필요한 치아, 심한 충치가 있는 치아, 치료가 마무리 되지 못한 치아..
대부분 구역 반사가 심하신 분들도 수면치료 준에는 괜찮으신데 이 환자분은 수면 중에도 구역 반사를 간간히 보여서 어시스트와 나 모두 긴장 또 긴장 상태로 진료의 중단과 시작을 반복하면서 첫 날은 스켈링과 아픈치아 발치를 마쳤다...
첫 날 진료가 끝나고 환자와 다시 마주하고는 양치질 하시기도 힘드시겠네요.. 했더니 정말 그렇다며 오랜만에 스켈링 받아서 입이 개운한 것 같다신다.

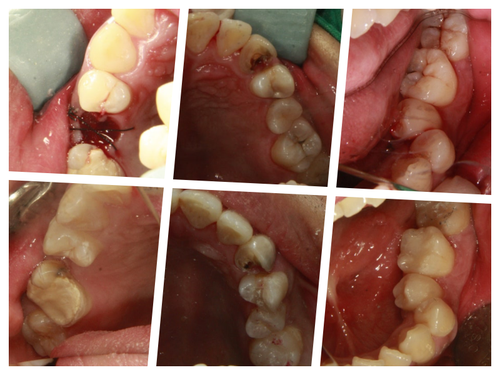
발치가 필요한 치아 치료는 미루시고 나머치 충치 치료를 진행.. 인레이 인상뜰 때 주무시면서 구토까지 하셨다.. 옆에서 이 모든과정을 도와준 우리 직원이 글을 쓰면서 다시 한 번 고맙다..
그래도 무사히 계획된 치료를 다 받고 치료 후 사진도 수면 상태에서 겨우 찍어서 환자분께 보여드렸다..
어시스트와 정말 힘든환자였다며, 우리가 아니면 누가 치료해드릴 수 있었겠냐며 ,몇 번 치료하면서 이환자에 대한 노하우가 생기지 않았냐며, 웃으며 힘든 시간들을 서로 위로해본다..

정말 이정도로 구역반사가 심한 환자는 처음이라 나도 좀 당황스러웠지만 다행히 치료를 마무리 할 수 있어서 기분 좋은 하루였다..
다음 발치와 임플란트 수술이 남아 있어 다음 치료에도 우리 잘해보자며 직원들과 서로를 격려해본다...