선화예중 친구들





발레리나 친구들~
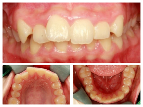
무대에 서는 친구들이라 외모에 민감하고 특히 돌출과 비대칭때문에 사진 찍을 때 신경이 많이 쓰인다고 했다.
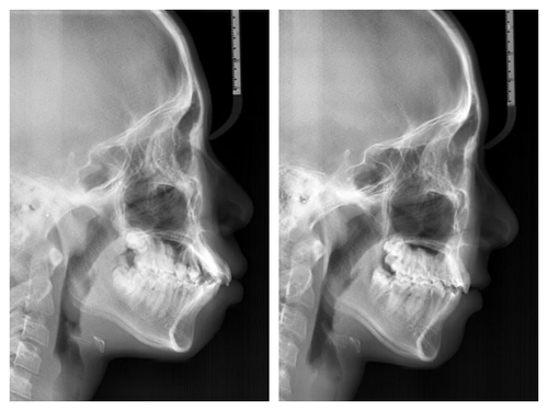
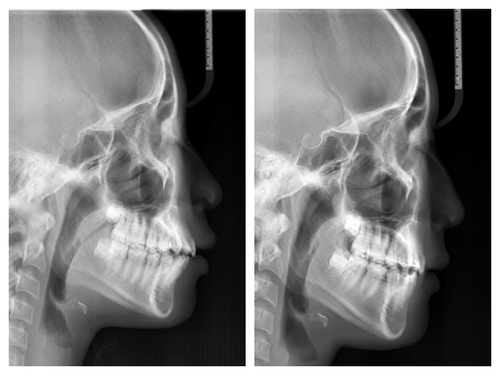
사실 골격적인 비대칭이 심해서 교정이 끝나도 비대칭이 남겠지만 돌출이 개선되면 훨씬 예뻐질것이기에 과감히 발치를 하고 좌,우 최대한 중심선을 맞추면서 교정을 끝낸 케이스
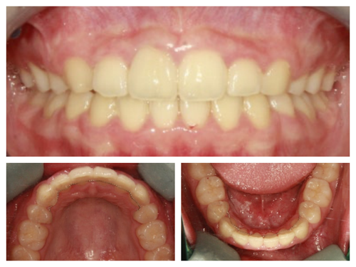
입이 들어가서 예뻐진 것 뿐아니라 사진을 찍으면 두드러지던 비대칭도 많이 줄어들었다.
이제 자신있게 무대에서도 활짝 웃고 사진 찍는 것도 두렵지 않다고^^




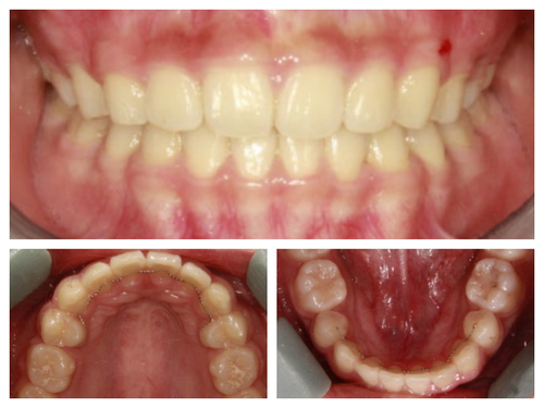
웃을때 잇몸이 많이 보이고 입이 나온것 같아 신경이 쓰인다던 발레리나
지금도 예쁘지만 본인만의 콤플렉스를 고쳐주면 더 자신감이 생기기도 하니까~
네 개의 소구치를 발치하고 교정을 시작했다.
돌출입 교정을 통해 입술의 모습이 많이 바뀌니 잇몸 노출량도 훨씬 줄어서 웃을때 신경이 더 쓰인다고...
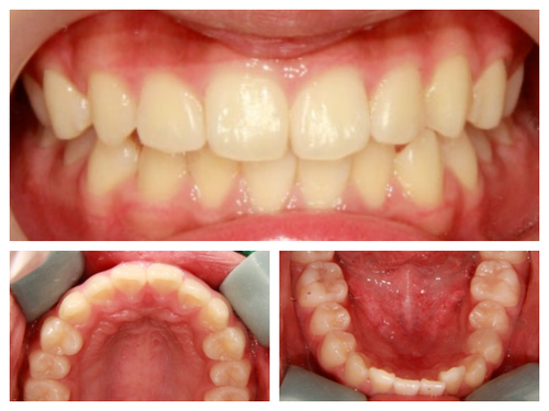
무대를 서는 아이들이라 교정하는 내내 신경이 많이 쓰였던 케이스들인데 나도 환자도 보호자도 모두 만족할 수 있어서 다행이었다...