40대도 60대도 아래 앞니가 고민이예요~
"아래 앞니가 비뚤어진 것 같아요~
예전엔 이가 바르고 예뻤는데 날이 갈수록 더 비뚤어지는 느낌이 들어요.."
치과에서는 꽤나 흔하게 들어볼 수 있는 호소들이다
치아는 시간이 지남에 따라 생리적 근심이동을하고 ( 중간으로 모인다는 정도로 이해하면 된다.) 연령이 증가함에 따라 인접면 마모가 더해지면 환자들은 더욱 느끼게 된다.

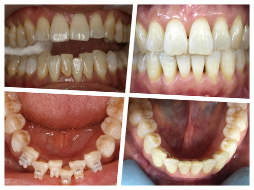
40대 고등학교 선생님, 최근 더 아래 앞니가 신경 쓰인다고..
전체 교정을 다해서 어금니 교합도 더 맞추고 앞니 수직수평피개까지 맞추면 더 좋지만 먹고 마시고 말하고 일상생활에 전혀 문제가 없는경우 불편한 부위만 해소해 주는 것이 좋다고 생각한다.
대략 8개월의 교정기간과 현재 5년간 잘 유지 중이다.

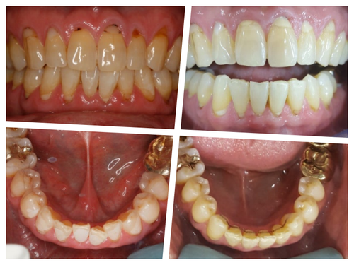
60대 환자분이 이런얘기를 하면 10년 전만해도 불편한 것도 없으신데 굳이 교정을 하셔야할까요? 넌지시 물었었다. 근데 나도 나이가 들면서 이런 생각을 한다. 왜? 나이가 들어서 보기 싫은 건 더 고쳐서 더 자신있게 예쁘게 건강하게 살고 싶은걸.. 니들이 뭘 안다고
그런것 같다. 그래서 네 그게 불만이고 콤플렉스라면 앞니만 간단히 6-7개월 투자하셔서 (당연히 이점이 있다) 대신 그 불편한 기간은 잘 견뎌주셔야 한다고
대부분의 환자분들은 예뻐지는 내 이를 직접보니 잘 견디시는 것 같다.

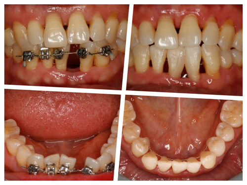
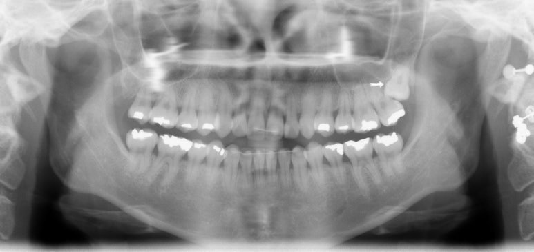
발치 전 사진이 없어서 아쉽지만... 이렇게 한 개 치아를 반드시 발치해야하고 주변치아들이 비뚤다면 정말 교정이 답이 될 수 있다는 생각이 든다. 잇몸이 너무 좋지 않아서 잇몸공간이 눈에 띄기는 하지만 이후 치주 관리도 잘하시고 유지장치로 앞니끼리 고정되어 있으니 예상보다 오래 잘 쓰시고 계신다..