사랑니의 쓸모를 찾아서~

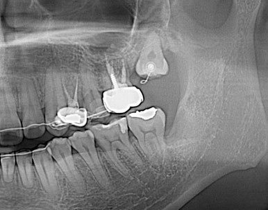
27세 여자 환자 좌측 제2대구치를 발치해야한다는 진단을 받고 상담 중 사랑니를 교정해서 위치시키고 써보자고 얘기했다~


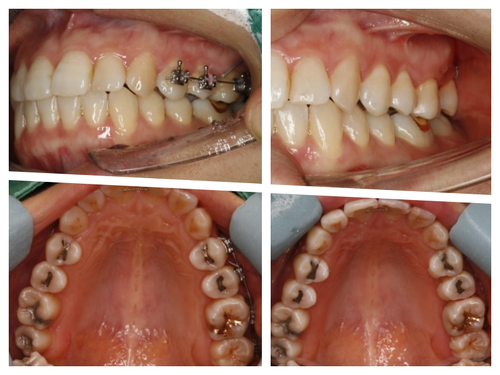
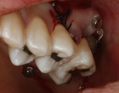
수술을 통해 장치를 위치시키고 열심히 구강내로 당겨내고 있다.

드디어 구강내로 얼굴을 내밀고 제 위치에 안착~
치료 중 임신으로 방사선 사진을 남기지 못해 아쉽지만 기능을 잘해주고 있어 뿌듯하다^^



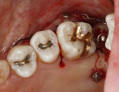
공교롭게도 이 환자도 27세 여성환자...
늘 열심히 일하고 야간진료 때 컴퓨터 가방을 들고 오던 환자였다.
일도 힘들었을텐데 꼬박 꼬박 진료도 잘 와줘서 사랑니가 원래 제 자리였던것처럼 위치하고 있다.
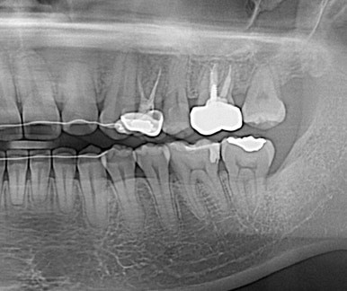
비용도 수고로움도 임플란트만큼이지만 치주인대를 갖고있는 나의 치아로 대체할 수 있음은 충분히 투자가치가 있다는 개인적인 의견이다...